Colocar implantes dentários de carga imediata permite reabilitar o sorriso no próprio dia da cirurgia. Em vez de esperar vários meses pela prótese definitiva, o paciente recebe uma prótese provisória fixa logo após a colocação do implante, o que devolve a função e estética de forma rápida e com resultados que podem ser antecipados com segurança.
Se está a ponderar avançar com implantes de carga imediata, comece por conhecer como funciona esta técnica e em que situações é realmente recomendada.
Ao longo deste artigo, ficará a saber:
- O que é um implante de carga imediata
- A diferença entre carga imediata e implante tradicional
- Quando é possível aplicar esta técnica
- Em que casos não é recomendada
- Quais são as vantagens da carga imediata
No final deste artigo, saberá se a carga imediata pode ser uma solução segura e adequada ao seu caso.
1. O que é um implante de carga imediata?
Os implantes dentários de carga imediata permitem fixar uma prótese provisória no próprio dia da cirurgia. O objetivo é garantir uma solução estética imediata e restaurar a funcionalidade básica do sorriso, como falar e sorrir com confiança, enquanto o implante ganha estabilidade e o paciente cumpre o período de adaptação antes de retomar à mastigação normal.
Além disso, a técnica de carga imediata recorre a planeamento digital 3D, o que permite ao médico simular o posicionamento ideal do implante antes da cirurgia. Esta etapa é essencial para garantir que a prótese provisória assenta corretamente e não interfere com o processo de cicatrização.
Esta técnica é utilizada em situações como:
- Falta de um dente
- Perda de vários dentes
- Reabilitação total com próteses fixas
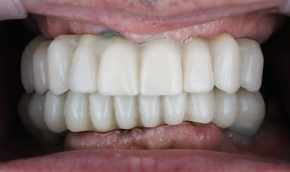
A grande vantagem da carga imediata é devolver a estética completa do sorriso no primeiro dia, de forma previsível e confortável.

2. Qual a diferença entre um implante tradicional e um implante de carga imediata?
A principal diferença de um implante de carga imediata para as versões tradicionais está no tempo de espera entre a cirurgia e a colocação da prótese.
Quanto tempo demora cada técnica
- Implante tradicional: a prótese só é colocada após 3 a 6 meses de cicatrização.
- Implante de carga imediata: a prótese provisória é fixada no mesmo dia da cirurgia
Outro fator importante é a estabilidade primária, ou seja, o grau de fixação inicial do implante ao osso no momento da cirurgia. A carga imediata só é possível quando essa estabilidade é elevada e permite suportar a prótese provisória sem comprometer a osteointegração (ou seja, a integração do implante no osso). Esta avaliação é feita pelo médico dentista com recurso a tecnologia digital e medições precisas durante o procedimento.
Os implantes de carga imediata permitem um resultado imediato, mas só são recomendados quando existem condições clínicas ideais.
Ambas as técnicas têm indicações específicas e a escolha deve ser feita com base no diagnóstico clínico. Se quiser compreender mais detalhadamente a principal diferença de um implante de carga imediata de um implante tradicional, pode consultar o artigo da Revista Ibero-Americana de Humanidades, Ciências e Educação sobre implantes dentários tradicionais e de carga imediata.

3. Quando é possível aplicar a técnica de carga imediata?
A carga imediata só é segura quando o paciente reúne critérios específicos que garantem a estabilidade primária do implante.
Os principais requisitos incluem ter osso com densidade e volume suficientes, garantir uma boa estabilidade do implante no momento da colocação, não apresentar infeções locais, manter uma boa saúde oral geral, além de ser capaz de seguir corretamente os cuidados pós-operatórios.
Além destes fatores, entram também em consideração outros elementos importantes, como a qualidade do osso, sendo que um osso mais denso proporciona maior estabilidade, a posição exata onde o implante será colocado e a forma a carga mastigatória é distribuída durante a fase de cicatrização. O tipo de prótese provisória utilizada também tem impacto, já que opções mais leves oferecem maior segurança ao longo do processo.
Nem todos os pacientes são candidatos à carga imediata, a decisão depende sempre de uma avaliação clínica detalhada.
4. Quando é que colocar implantes de carga imediata não é recomendável?
Existem situações em que a carga imediata pode comprometer o sucesso da osteointegração.
A técnica pode não ser indicada quando existe:
- Perda óssea acentuada
- Mobilidade dentária causada por doença periodontal avançada
- Infeções ativas
- Bruxismo severo
- Condições sistémicas descompensadas (ex.: diabetes não controlada)
- Falta de estabilidade primária durante a cirurgia
Nestes casos, a técnica tradicional é mais segura e apresenta taxas de sucesso superiores.
5. Quais são as vantagens do implante de carga imediata?
Quando realizada em condições ideais, esta técnica oferece várias vantagens, como a possibilidade de obter um sorriso imediato no próprio dia da cirurgia, menor desconforto psicológico, o uso de uma prótese provisória fixa e não removível, uma recuperação mais prática e confortável, um procedimento seguro quando bem indicado e uma maior satisfação estética desde o início.

A carga imediata oferece resultados rápidos sem comprometer a segurança, desde que realizada por profissionais especializados.
Quando é seguro avançar com implantes de carga imediata?
Os implantes dentários de carga imediata são uma solução moderna, rápida e eficaz, mas não são indicados para todos os pacientes.
O sucesso depende de um diagnóstico feito com rigor, se o osso apresenta estabilidade adequada e se a colocação do implante for realizada por um profissional experiente e especializado.
Antes de decidir, converse com o seu médico dentista e faça uma avaliação detalhada para compreender se esta técnica é segura no seu caso.
Na OralPlan, todos os casos são avaliados com tecnologia digital 3D, garantindo precisão, segurança e o melhor resultado possível.
Se está a pensar colocar implantes e carga imediata, agende a sua consulta de avaliação e descubra se é candidato(a) ao implante de carga imediata.
Sobre o autor
Dr. Cassis Clay
Diretor Clínico, Implantologia e Reabilitação Oral
Cédula profissional Nº6400
Sou médico dentista há mais de 20 anos e dedico a minha prática clínica à Implantologia e à Reabilitação Oral. Ao longo do meu percurso, tenho trabalhado com foco na precisão dos tratamentos e na recuperação da função e do conforto dos pacientes.
Sou fundador da OralPlan e acompanho de perto a evolução clínica da equipa enquanto Diretor Clínico do grupo. Desenvolvi também o UNIX planner, um método clínico que estrutura o diagnóstico, o planeamento e a execução de tratamentos complexos de forma mais previsível. Este trabalho de investigação foi distinguido com o Prémio de Saúde Oral 2023.
Acredito que a medicina dentária deve ser feita com rigor, tecnologia e uma relação de confiança que é construída desde a primeira consulta.
O meu objetivo é ajudar cada paciente a recuperar função, conforto e confiança no dia a dia.
